Вариант № 204855

ВПР 2022 год по биологии 6 класс. Вариант 3.

При вы­пол­не­нии за­да­ний с крат­ким от­ве­том впи­ши­те в поле для от­ве­та цифру, ко­то­рая со­от­вет­ству­ет но­ме­ру пра­виль­но­го от­ве­та, или число, слово, по­сле­до­ва­тель­ность букв (слов) или цифр. Ответ сле­ду­ет за­пи­сы­вать без про­бе­лов и каких-либо до­пол­ни­тель­ных сим­во­лов. Дроб­ную часть от­де­ляй­те от целой де­ся­тич­ной за­пя­той. Еди­ни­цы из­ме­ре­ний пи­сать не нужно.


Если ва­ри­ант задан учи­те­лем, вы мо­же­те впи­сать или за­гру­зить в си­сте­му от­ве­ты к за­да­ни­ям с раз­вер­ну­тым от­ве­том. Учи­тель уви­дит ре­зуль­та­ты вы­пол­не­ния за­да­ний с крат­ким от­ве­том и смо­жет оце­нить за­гру­жен­ные от­ве­ты к за­да­ни­ям с раз­вер­ну­тым от­ве­том. Вы­став­лен­ные учи­те­лем баллы отоб­ра­зят­ся в вашей ста­ти­сти­ке.


Версия для печати и копирования в MS Word
1
Тип 1.1 № 4225
i
Развернуть

Как на­зы­ва­ют дан­ный про­цесс? Ответ дайте в име­ни­тель­ном па­де­же.


Ответ:

2
Развернуть

Какой метод поз­во­лит уче­ни­ку уста­но­вить про­изо­шед­шие с рас­те­ни­ем из­ме­не­ния в ходе дан­но­го про­цес­са? Ответ дайте в име­ни­тель­ном па­де­же.


Ответ:

3
Тип 1.3 № 4227
i
Развернуть

За счёт какой ткани осу­ществ­ля­ет­ся дан­ный про­цесс? Ответ дайте в име­ни­тель­ном па­де­же.


Ответ:

4
Тип 2.1 № 4228
i
Развернуть

Какое по­ня­тие сле­ду­ет впи­сать на место про­пус­ка в этой таб­ли­це?

1)  ме­ха­ни­че­ская ткань

2)  про­во­дя­щая ткань

3)  по­кров­ная ткань

4)  за­па­са­ю­щая ткань

 

В от­ве­те ука­жи­те номер пра­виль­но­го от­ве­та.


Ответ:

5
Тип 2.2 № 4229
i

Какую функ­цию вы­пол­ня­ют си­то­вид­ные труб­ки у рас­те­ний?


Решения заданий с развернутым ответом не проверяются автоматически. Запишите решение на бумаге.
На следующей странице вам будет предложено проверить их самостоятельно.

6
Тип 3 № 4230
i

Вы­бе­ри­те из пред­ло­жен­но­го спис­ка и вставь­те в текст про­пу­щен­ные слова (сло­во­со­че­та­ния), ис­поль­зуя для этого их циф­ро­вые обо­зна­че­ния. Впи­ши­те но­ме­ра вы­бран­ных слов на места про­пус­ков в тек­сте.

ЗЕР­НОВ­КА ПШЕ­НИ­ЦЫ

Пше­ни­ца  — важ­ней­шая зер­но­вая куль­ту­ра. Сна­ру­жи её семя по­кры­то _________(А), ко­то­рая плот­но сро­слась со стен­кой плода. Ос­нов­ную часть зер­нов­ки со­став­ля­ет _________(Б). Под мик­ро­ско­пом у зер­нов­ки хо­ро­шо видны ор­га­ны за­ро­ды­ша: за­ро­ды­ше­вый ко­ре­шок, сте­белёк и _________(В). Се­мя­до­ля рас­по­ло­же­на сбоку за­ро­ды­ша, и её на­зы­ва­ют щиток.

 

Спи­сок слов:

1)  ко­жу­ра

2)  пла­стин­ка

3)  по­чеч­ка

4)  эн­до­сперм

5)  цве­то­чек

6)  кора

 

За­пи­ши­те в таб­ли­цу вы­бран­ные цифры под со­от­вет­ству­ю­щи­ми бук­ва­ми.

 

Ответ:

АБВ


7
Тип 4.1 № 4231
i
Развернуть

По­ка­жи­те стрел­ка­ми и под­пи­ши­те на ри­сун­ке че­ре­шок, при­лист­ни­ки, ли­сто­вую пла­стин­ку.


Решения заданий с развернутым ответом не проверяются автоматически. Запишите решение на бумаге.
На следующей странице вам будет предложено проверить их самостоятельно.

8
Тип 4.2 № 4232
i
Развернуть

Чем слож­ный лист от­ли­ча­ет­ся от про­сто­го?


Решения заданий с развернутым ответом не проверяются автоматически. Запишите решение на бумаге.
На следующей странице вам будет предложено проверить их самостоятельно.

9
Тип Д16 № 4233
i
Развернуть

Как на­зы­ва­ет­ся часть листа, ко­то­рая со­еди­ня­ет его со стеб­лем?


Ответ:

10
Тип 5 № 4234
i

Рас­смот­ри­те изоб­ра­же­ние листа лилии и опи­ши­те его по сле­ду­ю­ще­му плану: форма листа, жил­ко­ва­ние листа, тип листа по со­от­но­ше­нию длины и ши­ри­ны ли­сто­вой пла­стин­ки (без че­реш­ка) и по рас­по­ло­же­нию наи­бо­лее ши­ро­кой части. Ис­поль­зуй­те при вы­пол­не­нии за­да­ния ли­ней­ку и ка­ран­даш.

А. Форма листа

1) Пе­ри­сто-ло­паст­ная

2) Пе­ри­сто-раз­дель­ная

3) Пе­ри­сто-рас­сечённая

4) Цель­ная

Б. Жил­ко­ва­ние листа

1) Па­рал­лель­ное

2) Ду­го­вид­ное

3) Паль­ча­тое

4) Пе­ри­сто-сет­ча­тое

В. Тип листа

Длина равна ши­ри­не или не­мно­го её пре­вы­ша­ет.

1) Ши­ро­ко­яй­це­вид­ный

2) Округ­лый

3) Об­рат­но-ши­ро­ко­яй­це­вид­ный

Длина пре­вы­ша­ет ши­ри­ну в 1.5-2 раза.

4) Яй­це­вид­ный

5) Оваль­ный

6) Об­рат­но-яй­це­вид­ный

 

За­пи­ши­те в ответ цифры, рас­по­ло­жив их в по­ряд­ке, со­от­вет­ству­ю­щем бук­вам:

AБВ



11
Тип Д11 № 4235
i

Какой ге­не­ра­тив­ный орган рас­те­ния со­дер­жит за­ро­дыш и запас пи­та­тель­ных ве­ществ, не­об­хо­ди­мых для его раз­ви­тия?

 

1)  побег

2)  цве­ток

3)  семя

4)  плод

 

В от­ве­те ука­жи­те номер пра­виль­но­го от­ве­та.


Ответ:

12

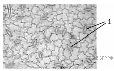
Рас­смот­ри­те ри­су­нок рас­ти­тель­ной клет­ки (рис. 1). Какая струк­ту­ра клет­ки обо­зна­че­на на ри­сун­ке бук­вой А? Ка­ко­во зна­че­ние этой струк­ту­ры в жиз­не­де­я­тель­но­сти клет­ки?

Ольга рас­смот­ре­ла ко­жи­цу листа ге­ра­ни под мик­ро­ско­пом и сде­ла­ла мик­ро­фо­то­гра­фию (рис. 2). Что она обо­зна­чи­ла на фо­то­гра­фии циф­рой 1?

Рис. 1

Рис. 2


Решения заданий с развернутым ответом не проверяются автоматически. Запишите решение на бумаге.
На следующей странице вам будет предложено проверить их самостоятельно.

13
Тип Д C13 № 4237
i
Развернуть

Какую за­да­чу ста­вил Ни­ко­лай, по­ме­щая рас­те­ние и ста­кан с из­вест­ко­вой водой под стек­лян­ный кол­пак?

В ответ за­пи­ши­те, какой про­цесс спро­во­ци­ро­вал из­ме­не­ния под кол­па­ком

По­че­му Ни­ко­лай по­ме­стил рас­те­ние и ста­кан с из­вест­ко­вой водой в тёмный шкаф?


Решения заданий с развернутым ответом не проверяются автоматически. Запишите решение на бумаге.
На следующей странице вам будет предложено проверить их самостоятельно.

14
Тип Д C13 № 4238
i
Развернуть

Какую ре­ко­мен­да­цию можно дать по раз­ме­ще­нию рас­те­ний в жилом по­ме­ще­нии ис­хо­дя из ре­зуль­та­тов опыта? Обос­нуй­те свой ответ.


Решения заданий с развернутым ответом не проверяются автоматически. Запишите решение на бумаге.
На следующей странице вам будет предложено проверить их самостоятельно.

15
Тип 8 № 4239
i

Ис­поль­зуя при­ведённую ниже таб­ли­цу, от­веть­те на во­про­сы.

 

Со­дер­жа­ние ми­не­раль­ных ве­ществ в пло­дах рас­те­ний, мг/100 г

 

Рас­т­не­ияКалийКаль­цийМаг­нийФос­форЖе­ле­зо
Ба­кла­жан238159340,4
Фа­соль2405044590,47

Ка­пу­ста брок­ко­ли3164721660,73
Сель­де­рей 4407250771,3

 

Какое рас­те­ние из пе­ре­чис­лен­ных в таб­ли­це пре­вос­хо­дит по со­дер­жа­нию ми­не­раль­ных ве­ществ три дру­гих рас­те­ния?

Какое рас­те­ние из пе­ре­чис­лен­ных в таб­ли­це со­дер­жит 47 мг каль­ция на 100 г?

По со­дер­жа­нию каких двух ми­не­раль­ных ве­ществ из пе­ре­чис­лен­ных в таб­ли­це сход­ны ба­кла­жан и фа­соль?


Решения заданий с развернутым ответом не проверяются автоматически. Запишите решение на бумаге.
На следующей странице вам будет предложено проверить их самостоятельно.

16
Тип Д14 C14 № 4240
i

Рас­те­ния по-раз­но­му от­но­сят­ся к свету, теплу и влаге, и это учи­ты­ва­ет­ся цве­то­во­да­ми при раз­ве­де­нии раз­лич­ных рас­те­ний.

Опи­ши­те осо­бен­но­сти рас­те­ний агавы и бе­го­нии, ко­то­рые не­об­хо­ди­мо учи­ты­вать при их раз­ве­де­нии в до­маш­них усло­ви­ях, ис­поль­зуя для этого таб­ли­цу услов­ных обо­зна­че­ний.

По каким по­зи­ци­ям из при­ведённых в опи­са­нии эти рас­те­ния имеют оди­на­ко­вые ха­рак­те­ри­сти­ки?


Решения заданий с развернутым ответом не проверяются автоматически. Запишите решение на бумаге.
На следующей странице вам будет предложено проверить их самостоятельно.
Завершить работу, свериться с ответами, увидеть решения.