Вариант № 299000

ВПР 2024 год по биологии 6 класс. Вариант 3.

При вы­пол­не­нии за­да­ний с крат­ким от­ве­том впи­ши­те в поле для от­ве­та цифру, ко­то­рая со­от­вет­ству­ет но­ме­ру пра­виль­но­го от­ве­та, или число, слово, по­сле­до­ва­тель­ность букв (слов) или цифр. Ответ сле­ду­ет за­пи­сы­вать без про­бе­лов и каких-либо до­пол­ни­тель­ных сим­во­лов. Дроб­ную часть от­де­ляй­те от целой де­ся­тич­ной за­пя­той. Еди­ни­цы из­ме­ре­ний пи­сать не нужно.


Если ва­ри­ант задан учи­те­лем, вы мо­же­те впи­сать или за­гру­зить в си­сте­му от­ве­ты к за­да­ни­ям с раз­вер­ну­тым от­ве­том. Учи­тель уви­дит ре­зуль­та­ты вы­пол­не­ния за­да­ний с крат­ким от­ве­том и смо­жет оце­нить за­гру­жен­ные от­ве­ты к за­да­ни­ям с раз­вер­ну­тым от­ве­том. Вы­став­лен­ные учи­те­лем баллы отоб­ра­зят­ся в вашей ста­ти­сти­ке.


Версия для печати и копирования в MS Word
1
Тип 1.1 № 4955
i
Развернуть

Как на­зы­ва­ют дан­ный про­цесс? Ответ дайте в име­ни­тель­ном па­де­же.


Ответ:

2
Тип 1.2 № 4956
i
Развернуть

Зна­ние в какой об­ла­сти бо­та­ни­че­ской науки поз­во­лит уче­ни­ку изу­чить дан­ный про­цесс? Ответ дайте в име­ни­тель­ном па­де­же.


Ответ:

3
Тип 1.3 № 4957
i
Развернуть

Какой орган рас­те­ния осу­ществ­ля­ет дан­ный про­цесс? Ответ дайте в име­ни­тель­ном па­де­же.


Ответ:

4
Тип 2.1 № 4958
i
Развернуть

Какое по­ня­тие сле­ду­ет впи­сать на место про­пус­ка в этой таб­ли­це?

1)  кам­бий

2)  со­су­ды

3)  устьи­ца

4)  дре­ве­син­ные во­лок­на

 

В от­ве­те ука­жи­те номер пра­виль­но­го от­ве­та.


Ответ:

5

Какую функ­цию вы­пол­ня­ет кам­бий у рас­те­ний?


Решения заданий с развернутым ответом не проверяются автоматически. Запишите решение на бумаге.
На следующей странице вам будет предложено проверить их самостоятельно.

6
Тип 3 № 4960
i

Вы­бе­ри­те из пред­ло­жен­но­го спис­ка и вставь­те в текст про­пу­щен­ные слова (сло­во­со­че­та­ния), ис­поль­зуя для этого их циф­ро­вые обо­зна­че­ния. Впи­ши­те но­ме­ра вы­бран­ных слов на места про­пус­ков в тек­сте.

ПРО­РАС­ТА­НИЕ СЕМЯН ПШЕ­НИ­ЦЫ

Се­ме­на пше­ни­цы могут дли­тель­но на­хо­дит­ся в со­сто­я­нии покоя, не про­рас­тая. Про­рас­та­ю­щие се­ме­на на­чи­на­ют ак­тив­но ды­шать, по­гло­щая ___________(А) и вы­де­ляя ___________(Б). Во время ды­ха­ния вы­де­ля­ет­ся энер­гия. При про­рас­та­нии за­ро­дыш зер­нов­ки пше­ни­цы пи­та­ет­ся за­па­са­ми ве­ществ, от­ло­жен­ных в ___________(В). Ос­нов­ным за­пас­ным ве­ще­ством у пше­ни­цы яв­ля­ет­ся крах­мал.

 

Спи­сок слов (сло­во­со­че­та­ний):

1)  свет

2)  се­мя­до­ля

3)  кис­ло­род

4)  эн­до­сперм

5)  уг­ле­кис­лый газ

6)  се­мен­ная ко­жу­ра

 

За­пи­ши­те в таб­ли­цу вы­бран­ные цифры под со­от­вет­ству­ю­щи­ми бук­ва­ми.

 

Ответ:

АБВ


7
Тип 4.1 № 4961
i
Развернуть

По­ка­жи­те стрел­ка­ми и под­пи­ши­те на ри­сун­ке се­мя­до­ли, за­ро­ды­ше­вую по­чеч­ку, за­ро­ды­ше­вый ко­ре­шок.


Решения заданий с развернутым ответом не проверяются автоматически. Запишите решение на бумаге.
На следующей странице вам будет предложено проверить их самостоятельно.

8
Тип 4.2 № 4962
i
Развернуть

От чего за­ви­сит глу­би­на по­се­ва семян?


Решения заданий с развернутым ответом не проверяются автоматически. Запишите решение на бумаге.
На следующей странице вам будет предложено проверить их самостоятельно.

9
Тип Д16 № 4963
i
Развернуть

Какой ко­рень раз­ви­ва­ет­ся из за­ро­ды­ше­во­го ко­реш­ка?


Ответ:

10
Тип 5 № 4964
i

Рас­смот­ри­те изоб­ра­же­ние ле­щи­ны и опи­ши­те его по сле­ду­ю­ще­му плану: жиз­нен­ная форма, тип со­цве­тия, ли­сто­рас­по­ло­же­ние.

А. Жиз­нен­ная форма

1) Де­ре­во

2) Ку­стар­ник

3) Тра­вя­ни­стое Рас­те­ние

4) Ку­стар­ни­чек

Б. Тип со­цве­тия

1) Кор­зин­ка

2) Кисть

3) Метёлка

4) Серёжка

5) Колос

6) Го­лов­ка

В. Ли­сто­рас­по­ло­же­ние

1) При­кор­не­вая ро­зет­ка

2) Очерёдное

3) Су­про­тив­ное

4) Му­тов­ча­тое

Ответ:

 

АБВ


11
Тип Д11 № 4965
i

Как на­зы­ва­ют го­ри­зон­таль­ные тон­кие пол­зу­чие по­бе­ги без ли­стьев с вы­тя­ну­ты­ми меж­до­уз­ли­я­ми?

 

1)  клуб­ни

2)  сто­ло­ны (усы)

3)  лу­ко­ви­цы

4)  че­рен­ки


Ответ:

12
Тип Д12 C12 № 4966
i

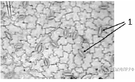
Рас­смот­ри­те ри­су­нок рас­ти­тель­ной клет­ки (рис. 1). Какая струк­ту­ра клет­ки обо­зна­че­на на ри­сун­ке бук­вой А? Ка­ко­во зна­че­ние этой струк­ту­ры в жиз­не­де­я­тель­но­сти клет­ки?

Ольга рас­смот­ре­ла ко­жи­цу листа ге­ра­ни под мик­ро­ско­пом и сде­ла­ла мик­ро­фо­то­гра­фию (рис. 2). Что она обо­зна­чи­ла на фо­то­гра­фии циф­рой 1?

Рис. 1

Рис. 2


Решения заданий с развернутым ответом не проверяются автоматически. Запишите решение на бумаге.
На следующей странице вам будет предложено проверить их самостоятельно.

13
Тип Д C13 № 4967
i
Развернуть

Вли­я­ние ка­ко­го фак­то­ра на раз­ви­тие про­рост­ков ил­лю­стри­ру­ет этот опыт?

Какой вывод сде­ла­ла Софья по ре­зуль­та­там сво­е­го опыта?


Решения заданий с развернутым ответом не проверяются автоматически. Запишите решение на бумаге.
На следующей странице вам будет предложено проверить их самостоятельно.

14
Развернуть

Чем ещё сле­ду­ет ру­ко­вод­ство­вать­ся во время за­дел­ки семян в почву? Обос­нуй­те свой ответ.


Решения заданий с развернутым ответом не проверяются автоматически. Запишите решение на бумаге.
На следующей странице вам будет предложено проверить их самостоятельно.

15
Тип 8 № 4969
i

Ис­поль­зуя при­ведённую ниже таб­ли­цу, от­веть­те на во­про­сы.

Усло­вия про­рас­та­ния семян

Рас­те­ниеМи­ни­маль­ная тем­пе­ра­ту­ра про­рас­та­ния, °С
Глу­би­на за­дел­ки семян, см

Масса 1000 семян, г

Ку­ку­ру­за84–6200–370
Рожь13–420–60
Мор­ковь52–31–2
Пше­ни­ца35–630–60

 

Какое рас­те­ние из пе­ре­чис­лен­ных в таб­ли­це имеет наи­боль­шую массу семян?

Се­ме­на ка­ко­го рас­те­ния из пе­ре­чис­лен­ных в таб­ли­це за­де­лы­ва­ют на наи­мень­шую глу­би­ну?

Про­рас­та­ние семян ка­ко­го рас­те­ния из пе­ре­чис­лен­ных в таб­ли­це про­ис­хо­дит при тем­пе­ра­ту­ре ниже 2 °C?


Решения заданий с развернутым ответом не проверяются автоматически. Запишите решение на бумаге.
На следующей странице вам будет предложено проверить их самостоятельно.

16
Тип Д14 C14 № 4970
i

Рас­те­ния по-раз­но­му от­но­сят­ся к свету, теплу и влаге, и это учи­ты­ва­ет­ся цве­то­во­да­ми при раз­ве­де­нии раз­лич­ных рас­те­ний.

Опи­ши­те осо­бен­но­сти рас­те­ний ан­ту­ри­ума и цис­су­са, ко­то­рые не­об­хо­ди­мо учи­ты­вать при их раз­ве­де­нии в до­маш­них усло­ви­ях, ис­поль­зуя для этого таб­ли­цу услов­ных обо­зна­че­ний.

По каким по­зи­ци­ям из при­ведённых в опи­са­нии эти рас­те­ния имеют оди­на­ко­вые ха­рак­те­ри­сти­ки?


Решения заданий с развернутым ответом не проверяются автоматически. Запишите решение на бумаге.
На следующей странице вам будет предложено проверить их самостоятельно.
Завершить работу, свериться с ответами, увидеть решения.