Вариант № 252224

ВПР 2023 год по биологии 6 класс. Вариант 3.

При вы­пол­не­нии за­да­ний с крат­ким от­ве­том впи­ши­те в поле для от­ве­та цифру, ко­то­рая со­от­вет­ству­ет но­ме­ру пра­виль­но­го от­ве­та, или число, слово, по­сле­до­ва­тель­ность букв (слов) или цифр. Ответ сле­ду­ет за­пи­сы­вать без про­бе­лов и каких-либо до­пол­ни­тель­ных сим­во­лов. Дроб­ную часть от­де­ляй­те от целой де­ся­тич­ной за­пя­той. Еди­ни­цы из­ме­ре­ний пи­сать не нужно.


Если ва­ри­ант задан учи­те­лем, вы мо­же­те впи­сать или за­гру­зить в си­сте­му от­ве­ты к за­да­ни­ям с раз­вер­ну­тым от­ве­том. Учи­тель уви­дит ре­зуль­та­ты вы­пол­не­ния за­да­ний с крат­ким от­ве­том и смо­жет оце­нить за­гру­жен­ные от­ве­ты к за­да­ни­ям с раз­вер­ну­тым от­ве­том. Вы­став­лен­ные учи­те­лем баллы отоб­ра­зят­ся в вашей ста­ти­сти­ке.


Версия для печати и копирования в MS Word
1
Развернуть

Как на­зы­ва­ют дан­ный про­цесс? Ответ дайте в име­ни­тель­ном па­де­же.


Ответ:

2
Развернуть

Зна­ние в какой об­ла­сти бо­та­ни­че­ской науки поз­во­лит уче­ни­ку изу­чить дан­ный про­цесс? Ответ дайте в име­ни­тель­ном па­де­же.


Ответ:

3
Тип 1.3 № 4600
i
Развернуть

Из какой почки в ходе дан­но­го про­цес­са по­яви­лось со­цве­тие? Ответ дайте в име­ни­тель­ном па­де­же.


Ответ:

4
Тип 2.1 № 4601
i
Развернуть

Какое по­ня­тие сле­ду­ет впи­сать на место про­пус­ка в этой таб­ли­це?

1)  об­ра­зо­ва­тель­ная ткань

2)  про­во­дя­щая ткань

3)  ме­ха­ни­че­ская ткань

4)  за­па­са­ю­щая ткань

 

В от­ве­те ука­жи­те номер пра­виль­но­го от­ве­та.


Ответ:

5
Тип 2.2 № 4602
i

Какую функ­цию вы­пол­ня­ют си­то­вид­ные труб­ки, рас­по­ло­жен­ные в кор­нях рас­те­ний?


Решения заданий с развернутым ответом не проверяются автоматически. Запишите решение на бумаге.
На следующей странице вам будет предложено проверить их самостоятельно.

6
Тип 3 № 4603
i

Вы­бе­ри­те из пред­ло­жен­но­го спис­ка и вставь­те в текст про­пу­щен­ные слова, ис­поль­зуя для этого их циф­ро­вые обо­зна­че­ния. Впи­ши­те но­ме­ра вы­бран­ных слов на места про­пус­ков в тек­сте.

 

СТРО­Е­НИЕ СО­ЦВЕ­ТИЙ

У боль­шин­ства рас­те­ний цвет­ки на по­бе­гах со­бра­ны в со­цве­тия. В со­цве­ти­ях раз­ли­ча­ют глав­ную и бо­ко­вую оси. Если цвет­ки на­хо­дят­ся на глав­ной оси, то такие со­цве­тия на­зы­ва­ют _________(А). Если цвет­ки на бо­ко­вых осях, то это  — _________(Б) со­цве­тия. Со­цве­тия пер­во­го типа имеет по­до­рож­ник. Его цвет­ки си­дя­чие и рас­по­ло­же­ны прямо на глав­ной оси. У этого рас­те­ния со­цве­тие на­зы­ва­ют _________(В).

 

Спи­сок слов (сло­во­со­че­та­ние):

1)  муж­ское

2)  про­стое

3)  жен­ское

4)  колос

5)  кисть

6)  слож­ное

 

За­пи­ши­те в таб­ли­цу вы­бран­ные цифры под со­от­вет­ству­ю­щи­ми бук­ва­ми.

 

Ответ:

АБВ


7
Тип 4.1 № 4604
i
Развернуть

По­ка­жи­те стрел­ка­ми и под­пи­ши­те на ри­сун­ке сте­бель, па­зуш­ную почку (гла­зок), вер­хуш­ку.


Решения заданий с развернутым ответом не проверяются автоматически. Запишите решение на бумаге.
На следующей странице вам будет предложено проверить их самостоятельно.

8
Тип 4.2 № 4605
i
Развернуть

По­че­му клу­бень кар­то­фе­ля, с точки зре­ния науки, не­вер­но на­зы­вать пло­дом?


Решения заданий с развернутым ответом не проверяются автоматически. Запишите решение на бумаге.
На следующей странице вам будет предложено проверить их самостоятельно.

9
Тип Д16 № 4606
i
Развернуть

Какое ве­ще­ство за­па­са­ет­ся в стеб­ле клуб­ня кар­то­фе­ля?


Ответ:

10
Тип 5 № 4607
i

Рас­смот­ри­те изоб­ра­же­ние листа бо­ярыш­ни­ка и опи­ши­те его по сле­ду­ю­ще­му плану: форма листа, жил­ко­ва­ние листа, тип листа по со­от­но­ше­нию длины и ши­ри­ны ли­сто­вой пла­стин­ки (без че­реш­ка) и по рас­по­ло­же­нию наи­бо­лее ши­ро­кой части. Ис­поль­зуй­те при вы­пол­не­нии за­да­ния ли­ней­ку и ка­ран­даш.

А. Форма листа

1) Пе­ри­сто-ло­паст­ная

2) Пе­ри­сто-раз­дель­ная

3) Пе­ри­сто-рас­сечённая

4) Цель­ная

Б. Жил­ко­ва­ние листа

1) Па­рал­лель­ное

2) Ду­го­вид­ное

3) Паль­ча­тое

4) Пе­ри­сто-сет­ча­тое

В. Тип листа

Длина равна ши­ри­не или не­мно­го её пре­вы­ша­ет.

1) Ши­ро­ко­яй­це­вид­ный

2) Округ­лый

3) Об­рат­но-ши­ро­ко­яй­це­вид­ный

Длина пре­вы­ша­ет ши­ри­ну в 1.5-2 раза.

4) Яй­це­вид­ный

5) Оваль­ный

6) Об­рат­но-яй­це­вид­ный

 

За­пи­ши­те в ответ цифры, рас­по­ло­жив их в по­ряд­ке, со­от­вет­ству­ю­щем бук­вам:

AБВ



11
Тип Д11 № 4608
i

Какая из пе­ре­чис­лен­ных ча­стей плода раз­ви­ва­ет­ся из сте­нок за­вя­зи?

 

1)  око­ло­плод­ник

2)  пло­до­нож­ка

3)  семя

4)  се­мен­ная ко­жу­ра

 

В от­ве­те ука­жи­те номер пра­виль­но­го от­ве­та.


Ответ:

12

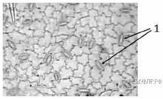
Рас­смот­ри­те ри­су­нок рас­ти­тель­ной клет­ки (рис. 1). Какая струк­ту­ра клет­ки обо­зна­че­на на ри­сун­ке бук­вой А? Ка­ко­во зна­че­ние этой струк­ту­ры в жиз­не­де­я­тель­но­сти клет­ки?

Ольга рас­смот­ре­ла ко­жи­цу листа ге­ра­ни под мик­ро­ско­пом и сде­ла­ла мик­ро­фо­то­гра­фию (рис. 2). Что она обо­зна­чи­ла на фо­то­гра­фии циф­рой 1?

Рис. 1

Рис. 2


Решения заданий с развернутым ответом не проверяются автоматически. Запишите решение на бумаге.
На следующей странице вам будет предложено проверить их самостоятельно.

13
Тип Д8 C2 № 4610
i
Развернуть

Вли­я­ние ка­ко­го усло­вия на раз­ви­тие пле­се­ни ил­лю­стри­ру­ет дан­ный опыт?

Сфор­му­ли­руй­те вывод о вли­я­нии этого усло­вия на раз­ви­тие пле­се­ни.


Решения заданий с развернутым ответом не проверяются автоматически. Запишите решение на бумаге.
На следующей странице вам будет предложено проверить их самостоятельно.

14
Тип Д8 C2 № 4611
i
Развернуть

Ис­поль­зуя ри­сун­ки, ре­ши­те, какое из усло­вий опыта, про­ведённого Алек­се­ем, яв­ля­ет­ся обя­за­тель­ным для раз­ви­тия пле­се­ни. Обос­нуй­те свой ответ.


Решения заданий с развернутым ответом не проверяются автоматически. Запишите решение на бумаге.
На следующей странице вам будет предложено проверить их самостоятельно.

15

Ис­поль­зуя при­ведённую ниже таб­ли­цу, от­веть­те на во­про­сы.

Усло­вия про­рас­та­ния семян

Рас­те­ниеМи­ни­маль­ная тем­пе­ра­ту­ра про­рас­та­ния, °С
Глу­би­на за­дел­ки семян, см

Масса 1000 семян, г

Ку­ку­ру­за84–6200–370
Рожь13–420–60
Мор­ковь52–31–2
Пше­ни­ца35–630–60

 

Какое рас­те­ние из пе­ре­чис­лен­ных в таб­ли­це имеет наи­боль­шую массу семян?

Се­ме­на ка­ко­го рас­те­ния из пе­ре­чис­лен­ных в таб­ли­це за­де­лы­ва­ют на наи­мень­шую глу­би­ну?

Про­рас­та­ние семян ка­ко­го рас­те­ния из пе­ре­чис­лен­ных в таб­ли­це про­ис­хо­дит при тем­пе­ра­ту­ре ниже 2 °C?


Решения заданий с развернутым ответом не проверяются автоматически. Запишите решение на бумаге.
На следующей странице вам будет предложено проверить их самостоятельно.

16
Тип Д14 C14 № 4613
i

Рас­те­ния по-раз­но­му от­но­сят­ся к свету, теплу и влаге, и это учи­ты­ва­ет­ся цве­то­во­да­ми при раз­ве­де­нии раз­лич­ных рас­те­ний.

Опи­ши­те осо­бен­но­сти рас­те­ний кис­ли­цы и аспле­ни­у­ма, ко­то­рые не­об­хо­ди­мо учи­ты­вать при их раз­ве­де­нии в до­маш­них усло­ви­ях, ис­поль­зуя для этого таб­ли­цу услов­ных обо­зна­че­ний.

По каким по­зи­ци­ям из при­ведённых в опи­са­нии эти рас­те­ния имеют оди­на­ко­вые ха­рак­те­ри­сти­ки?


Решения заданий с развернутым ответом не проверяются автоматически. Запишите решение на бумаге.
На следующей странице вам будет предложено проверить их самостоятельно.
Завершить работу, свериться с ответами, увидеть решения.